作为再生医学中最常见的干细胞类型,间充质干细胞有着巨大的市场应用空间。
自从新冠出现后,国家为我们扛了三年的防线,接下来要从“抗疫时代”进入“免疫时代”了。日前,科技部生物中心张新民主任也提到,干细胞针对新冠肺炎治疗安全、有效,是治疗新冠肺炎的又一选择,能够为患者提供新的治疗工具。
当前,全球干细胞疗法处于由技术向产品转化的过渡阶段,如何在体外进行间充质干细胞的工业化大规模培养,是细胞类产品实际应用中的重中之重,友康的“GMP级间充质干细胞无血清培养基”为工业用户的标准化生产提供“攻坚之钥”!
为“工业级培养”而生
通常认为无血清培养体系中细胞的贴壁能力不如血清以及血清替代物体系,这是厂家在追求细胞贴壁因子的含量与性能的平衡中导致的,因此大部分无血清细胞在细胞工厂及3D化培养中会出现贴壁不佳引起的形态学改变。
友康GMP级间充质干细胞无血清培养基本次彻底解决了这一问题,在不影响性能的情况下大幅强化了细胞的贴壁能力,使其能够适应细胞工厂、细胞3D化培养(微载体)等当下大部分的干细胞培养体系,减轻细胞培养工作人员的压力,适用于大规模生产中细胞种子库的建立。
细胞工厂培养MSC验证
传统扩增 MSC 的主要方式是采用培养瓶、培养皿等进行贴壁培养,一个病人单次需要回输几个亿单位的细胞,可能需要多个培养器皿共同培养。既浪费实验耗材、浪费培养空间、消耗操作人员的精力,又很难保证不同器皿的细胞生长状态和数量均一。
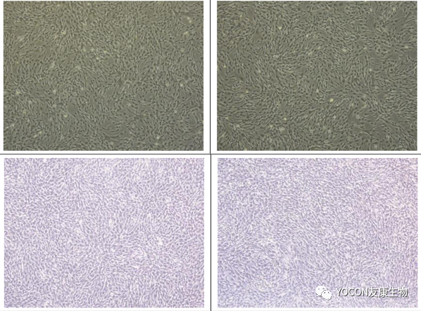
细胞工厂是适用于贴壁细胞培养的大型细胞培养器,适用于实验室操作或工业级大规模细胞培养。友康生物测试了GMP级间充质干细胞无血清培养基在两层细胞工厂(康宁2层细胞工厂,底面积1272cm2)培养MSC的效果。结果如下:
以上数据可以看出,使用该培养基进行MSC细胞工厂培养,细胞扩增倍数维持在10-12倍,细胞长势均一,贴壁生长良好,单个细胞呈标准长梭形,细胞颗颗分明,收获时细胞整体生长具有一定方向性,呈指纹状或漩涡状生长。由此可见,友康“GMP级间充质干细胞无血清培养基”可用于细胞工厂级别的大规模培养。

YOCON友康生物
2023-01-04
行业热点